An insidious process
Not a unique fate
Routine check-ups
Intensive care
A new home
House of memories
A varied lifestyle
Comprehensive geriatric care
A long goodbye
content-image
People
00

House of memories

Dementia does not signify the sudden loss of all memory. Instead, the mental deterioration is a gradual, insidious process that makes dealing with the disease even more difficult for patients and relatives alike. Because the efficacy of existing drug treatments is limited, the care of patients and the support of family members are of particular importance. A report from the Adullam hospital and care center in Basel.

Text by Goran Mijuk and Michael Mildner

scroll-down
Home
Share
Share icon
Language icon
content-image
Enter fullscreen

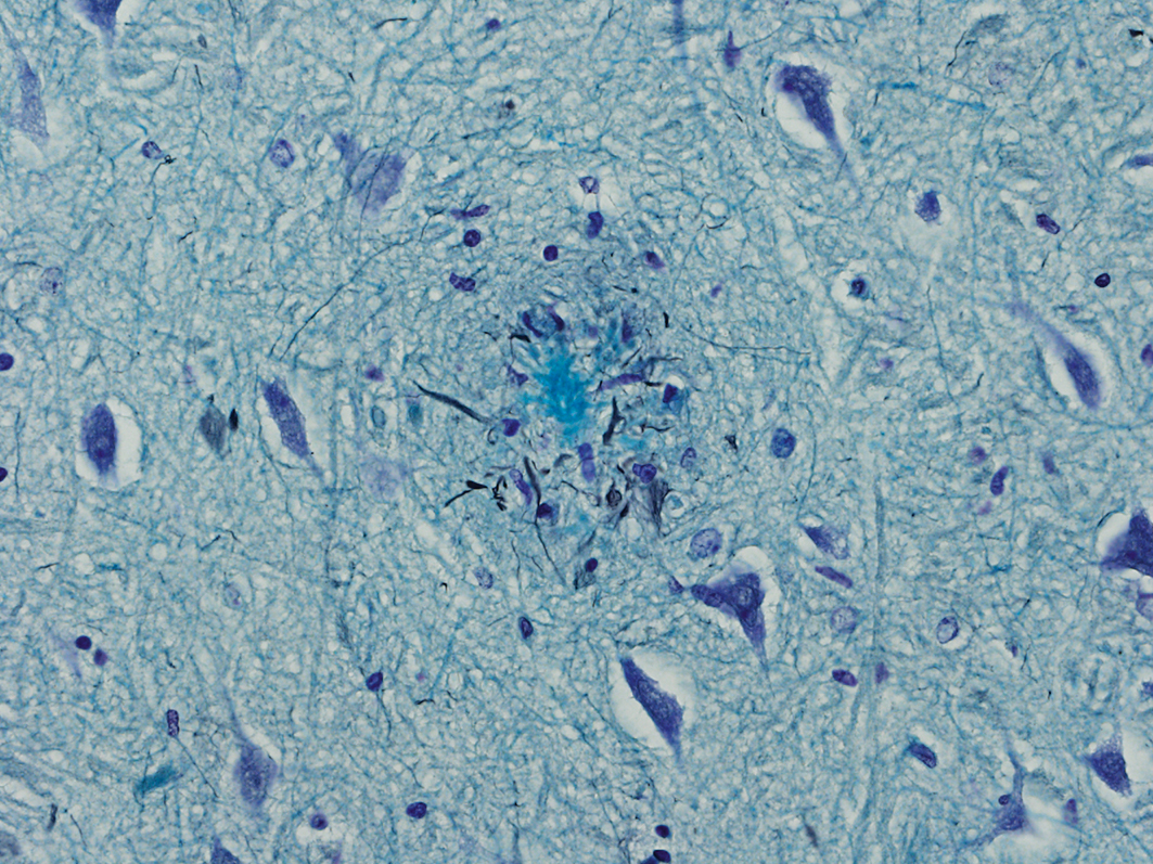
Protein deposits in the brain (so-called plaques) are symptomatic of dementia. The picture illustrates the senile plaques of an Alzheimer’s patient.

arrow-rightAn insidious process
arrow-rightNot a unique fate
arrow-rightRoutine check-ups
arrow-rightIntensive care
arrow-rightA new home
arrow-rightHouse of memories
arrow-rightA varied lifestyle
arrow-rightComprehensive geriatric care
arrow-rightA long goodbye

This article was originally published in April 2015.

What an idiot,” said Kurt Herzog to his wife after the doctor had left his room at the Adullam hospital and care center. “I’ve never heard anything so far-fetched!”

For Annerose Herzog, however, these words meant the end of the world as she knew it. Everything the physician had said was true: Her husband’s mental abilities were all but gone. Kurt Herzog’s invectives were just the irrevocable proof of his advanced dementia.

Annerose Herzog cannot hold back her tears as she thinks back to this moment around a year ago. As she explains during our visit at the Adullam, she herself had asked for the appointment with the doctor because she was no longer able to cope with the reproaches of her hus-band, who had urged her every day to take him back home because he didn’t want to live without her.

content-image
Enter fullscreen

Ruth Lindemann (right) and the other residents of the garden ward baking cookies together at Christmas.

An in­s­idious pro­cess

The couple had lived together for more than three decades. He worked as a legal director at the University Hospital of Basel and later acted as the president of Basel’s Cityscape Commission. Annerose Herzog was a successful nurse who had helped establish the bone-marrow transplant center at the University Hospital in Basel together with Professor Bruno Speck. They lived a full and intensive life, enriched by travel, art, literature and a wide circle of friends.

However, following his retirement in the mid-1990s, Kurt Herzog gradually began to lose his zest for life. The tall, enthusiastic athlete let himself go. He lost interest in music, chess and painting, and withdrew from society. “I didn’t notice it at first. He didn’t want to be around people anymore and always thought he knew everything and could do everything. Day by day, he became a different person,” explains Annerose Herzog.

As the years passed by, her husband turned into a loner. Only when he was rushed to hospital one day did doctors discover that he suffered from Korsakoff’s syndrome, a rare form of dementia that is triggered by vitamin deficiencies or alcohol abuse. Despite this, he refused to be treated.

However, as the disease rapidly worsened and his behavior became ever more erratic – once he threw a lit cigarette out of the car at a gas station – he was no longer able to avoid medical care. Due to the progression of the disease, he was admitted to the Adullam in 2012, just before his 80th birthday. Since then, he has been cared for around the clock in the sheltered dementia unit – also known as the garden ward.

content-image
Enter fullscreen

Physiotherapy, occupational therapy and...

Not a uni­que fate

Although the distress caused by dementia is indescribably huge for patients and relatives alike, what happened to Kurt Herzog is by no means a rare occurrence. Every year, more than 20 000 people succumb to dementia in Switzerland – and the trend is rising.

The progression of the disease – which usually becomes noticeable only after the age of 60 – is gradual and often remains unperceived by those concerned and their friends and family, who frequently laugh off the many warning signs or simply repress them.

Years can pass before dementia is diagnosed, also because not every blackout is a sign of memory loss. The causes of dementia remain unclear and there is no cure for it as yet.

“Detecting dementia in its early stages is virtually impossible for the layman,” explains Hansjoerg Ledermann, chief physician at the Adullam. On the one hand, this is because the early symptoms of the disease do not differ markedly from normal behavior. On the other hand, almost 10 years can elapse between the actual outbreak of the disease and the time when the first symptoms appear – thus making early diagnosis even more difficult.

content-image
Enter fullscreen

...activity hours are...

Rou­ti­ne check-ups

For this reason, all patients admitted to the Adullam undergo various routine dementia examinations, including brain scans and classic memory tests.

“If detected early enough, progression of the disease can be delayed with medication even if it cannot be cured. The goal of geriatric medicine is to ensure that patients can experience a period of prolonged health,” explains Ledermann.

In patients with a mild form of dementia, anti-dementia drugs such as the Novartis medication Exelon® can help to slow the progression of the disease. Patients are also given ginkgo supplements and other substances which can promote brain performance.

All patients, however, need professional care because many are physically weak and very often suffer from several diseases simultaneously, limiting the efficacy of drug therapy. “From this perspective it is important that pharmaceutical research reflects aspects such as multi-morbidity and polypharmacy when developing new dementia treatments,” explains Ledermann. “Only drugs that are tolerated well can be administered effectively in weaker patients.”

content-image
Enter fullscreen

...part of everyday life at the Adullam.

In­ten­si­ve care

At present, over 110 000 people in Switzerland suffer from Alzheimer’s disease or other forms of dementia. The majority of these are women, who are affected by dementia more frequently due to their longer life expectancy. Over half of these people live at home and are cared for by family members or home care service providers such as Spitex. The rest are taken care of in special sections in retirement or care homes, together with other elderly people who can no longer live without assistance.

As the disease progresses, patients can be a danger to both themselves and others. They may become aggressive, can no longer perform the simplest tasks or cannot find their way back home on their own anymore. In this case, sheltered living facilities such as the garden ward at the Adullam are the last hope for many patients – not to mention their overburdened relatives. This was also the case for 84-year-old Ruth Lindemann, who was admitted to the Adullam around two years ago after disappearing suddenly during a stay in hospital.

“She simply got up and left the hospital, and the police only found her hours later at Basel SBB station,” remembers her daughter Katrin Marelli. This was the event that ultimately convinced the family to have her admitted to a care home in 2011, years after the first signs of her illness became noticeable: She repeatedly forgot names, called her daughter anxiously or didn’t dress herself properly. This was unusual for a homemaker and mother who, for decades, had run the household impeccably.

“One trait of those with advanced dementia is a tendency to wander off regularly, apparent in around a quarter of patients,” explains Elke Hildebrand, Deputy Residential Manager of the garden ward at the Adullam. “When this happens – or when they become mentally unstable – family members are usually no longer able to care for the person. Sheltered, round-the-clock care is required in this case, including everything from monitoring to medication and personal hygiene.”

For relatives, this care-intensive disease can become torturous. The partner or parent not only gradually loses the memories that once connected them – their personality changes as well, resulting in an irritating alienation that destroys much of the erstwhile intimate bond. Many relatives have huge difficulties coping with this development. It is even more difficult to bear when moments of lucidity keep occurring and the patient speaks and acts clearly as before, thus giving the impression that the disease can be stopped.

“The most difficult part of our care work – especially with people suffering from serious dementia – are never the patients themselves,” explains Elke Hildebrand. “Rather, it is the relatives, who fight to come to terms with the situation and usually spend years struggling until they finally accept the disease. It is our job to talk to them and support them as well.”

Katrin Marelli, who visits her mother in the Adullam at least once a week, nods in confirmation. Her 91-year-old father, who came to the garden ward every day until only recently, rarely visits anymore. “It became increasingly difficult for him to come to terms with the disease, and he also lost his love for life because of it,” she explains. “I see things differently. I have learned to accept the disease as part of old age, even though it is not always easy.”

content-image
Enter fullscreen
A new home

Although dementia patients are no longer able to learn new things and are equally unable to perform the simplest everyday tasks on their own, they can still remember events from the past.

Time and again, this allows lively conversations to take place, such as when Ruth Lindemann explains to a nurse that there is something not quite right with the brush she is using to coat the dough when baking Christmas cookies and then telling her a little about her favorite types. Or when Kurt Herzog, as Elke Hildebrand reads him the sports pages in the Basler Zeitung, remembers Roger Federer and reckons he will have to pull out all the stops in order to be the world number one again. However, lucid moments such as these – where the patients appear to think, speak and act normally – can also trigger problems because these deeply ingrained slivers of memory make dementia patients walk back and forth nervously, cry or hide themselves away in fear. Were they not under observation, they might easily just walk off. “In such situations, it is important to empathize with the patient, but never to treat them like children. Their psychological situation has to be confronted with the appropriate respect and dignity,” explains Elke Hildebrand, before adding that residents at the Adullam are always addressed as Mr. or Mrs.

“If a patient is confused, it makes no sense to remind them that they are suffering from dementia, or to explain that they are no longer children. They simply don’t understand. You have to deal with their situation and accept that this is their reality, regardless of whether they are scared that their mother isn’t coming home or if they think they have lost something. This way they can calm down and find their way back to their normal rhythm.”

content-image
Enter fullscreen
Hou­se of me­mo­ries

Keeping memories alive – even if this is sometimes painful – is a central part of the care process, which has to do without special anti-dementia drugs because there are virtually no pharmaceutical therapies currently available for advanced mental diseases.

Besides souvenirs from the past which help improve the alertness of dementia patients, counteract the progression of the illness and increase their sense of well-being, the residents often have their own furniture and photos in their rooms. Thus, the garden ward at the Adullam looks nothing like a typical hospital ward. Instead, it feels more like a cozy residential community of older people who surround themselves with their memories just like at home – even if those memories exist only as fragments in their minds.

content-image
Enter fullscreen
A va­ried life­style

As Elke Hildebrand explains, in order to guarantee effective care, everyday life in the garden ward at the Adullam is closely structured. This allows the residents to develop a daily pattern and perform rituals that reinforce their sense of being at home.

In addition to the basic care in the morning, getting dressed and visits to the bathroom, the 10-member caregiver team also ensures that residents experience a stimulating time in the ward.

Reading to them from newspapers or books, baking or making salads together, handicrafts, painting and singing are part of everyday life, as are walks in nearby parks, outings to the zoo or walking trips in the surrounding area.

The residents are also happy to take care of the two pet cats, who bring a smile to everyone’s faces. Kurt Herzog also regularly takes Mona or Paulchen into his arms and strokes them lovingly, which has a noticeably calming effect on him.

Films are often shown too, with a distinct preference for Swiss classics. Alternatively, the residents can watch Adullam TV, which has been developed specially for the hospital and care center. In addition to travelogues or reports from the Basel Zoo, it also broadcasts church services and concerts from the hospital chapel, which many residents of the Adullam like to attend. Each evening, everyone wishes each other good night as the final ritual of the day before going to bed.

content-image
Enter fullscreen
Com­pre­hen­si­ve ger­iatric care

“As a relatively large hospital and care center, we can offer our patients the particular benefit of an extremely wide variety of different services,” explains Monica Illenseer, head of care services at the Adullam.

As well as the increasingly important acute geriatric care – where older patients can be sent home or to other care homes following a relatively short hospital stay (due to a broken leg or lung infection, for example) – the center has over 270 home places for people who require care but are still able to lead a relatively independent life.

All residents and patients benefit from the broad medical and technical infrastructure at the Adullam, which employs over 700 people, including almost 20 doctors and around 400 care staff. In addition to hospital care, the Adullam offers rehabilitation programs such as physiotherapy, occupational therapy and movement therapy. It also has a large kitchen, its own workshop and laundry, and a hairdresser and a public restaurant have rented space in the care center complex.

Despite the wide range of services, the Adullam – founded just after World War I – is stretched to the limit. As Monica Illenseer explains, it is not only increasingly challenging to recruit care staff. The lack of space in the city center is also problematic due to the increasing demand for care places as a result of demographic change. “With this in mind, we have decided to build a new facility in Riehen with a hospital department for acute geriatric care and rehabilitation, plus a care home with 67 places.” The new building is planned to open in 2017.

content-image
Enter fullscreen

Annerose Herzog – pictured here with Deputy Residential Manager Elke Hildebrand – visits her husband Kurt regularly in the garden ward at the Adullam.

A long good­bye

Despite the intensive care and attentive handling of patients, Alzheimer’s disease remains an unsolved medical problem.

“As long as there is no active substance available that can be used for longterm therapy, we will have to keep focusing on care for patients with Alzheimer’s and other forms of dementia,” explains Hansjoerg Ledermann. “We therefore have to continue strengthening the care measures and do all in our power to support everyone who is directly or indirectly affected by the disease.”

This is something of which Annerose Herzog is painfully aware. “I know that there is no chance of recovery at the moment, but I still want to stay with my husband. A part of me wishes that we could still live together,” she says at the end of our interview. “But I know that isn’t possible anymore and the only thing I can do is simply visit him every day.”

“The fact that I no longer have a guilty conscience that I cannot care for him on my own at home is down to the discussions I have had with the people from the Adullam, whom I trust deeply. But I know what I am go-ing through is a long and slow goodbye,” she says.

As she is leaving the garden ward, Kurt Herzog accompanies her to the door just like every day and asks if she can take him home with her. Annerose Herzog has now learnt to cope with this painful situation.

icon

Home
Share
Share icon
Language icon